At our practice, we offer a full range of comprehensive dental services tailored to meet the unique needs of every patient—from routine cleanings to advanced restorative and cosmetic treatments. Whether you’re here for preventive care or a complete smile makeover, our experienced team is committed to providing gentle, personalized care in a warm and welcoming environment.
We use modern technology and the latest techniques to ensure your treatment is comfortable, effective, and long-lasting. Your oral health is our top priority, and we work closely with you to create a care plan that supports your overall well-being.
Explore our services below and discover how we can help you achieve a healthier, more confident smile.
Dental Gallery
Preventative
Routine dental cleanings are a vital part of maintaining a healthy smile. At our office, we provide gentle yet thorough cleanings designed to remove plaque, tartar, and surface stains that regular brushing and flossing can’t reach.
During your cleaning appointment, our friendly and experienced hygienists will carefully clean your teeth, check for signs of gum disease, and provide helpful tips for keeping your smile healthy at home. We also take the time to ensure you're comfortable throughout the process, especially if you’re feeling anxious or haven’t had a cleaning in a while.
Regular cleanings not only help keep your teeth and gums healthy, they also support your overall health. We typically recommend a cleaning every six months, but we tailor our care to meet your individual needs.
Periodontal
Specialized surgical procedures—gum grafting, bone grafting, and dental implants—to restore oral health and rebuild your smile from the foundation up. Gum grafting helps treat receding gums, protecting exposed tooth roots and improving both appearance and comfort. Bone grafting is often necessary when bone loss has occurred due to tooth loss or gum disease, creating a strong base for future restorations. For patients missing one or more teeth, dental implants provide a permanent, natural-looking solution by replacing both the root and crown of the tooth. We utilize advanced imaging technology, such as CBCT (Cone Beam Computed Tomography), to obtain precise 3D views of your oral structures, enabling highly accurate diagnosis, treatment planning, and surgical outcomes.
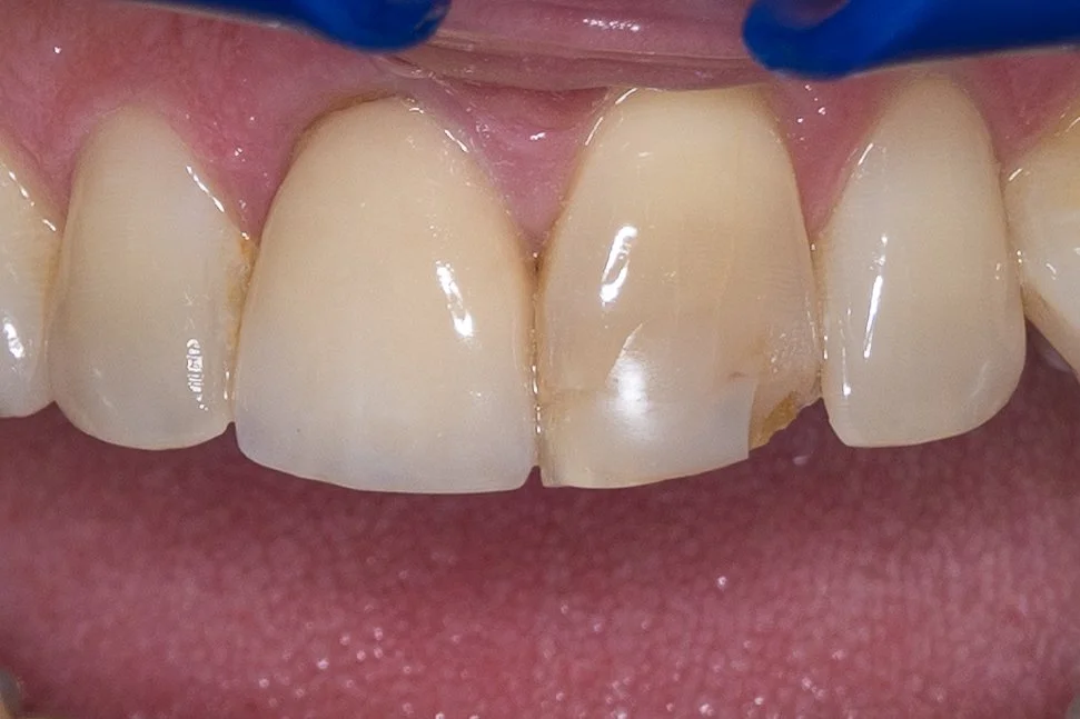
Restorative
Restorative dentistry focuses on repairing and restoring the health, function, and appearance of your smile. Whether you're dealing with cavities, damaged teeth, or tooth loss, our team offers personalized solutions to help you regain confidence in your smile and improve your overall oral health.
We utilize advanced materials and techniques to ensure your restorations appear natural, feel comfortable, and last for a long time. From tooth-colored fillings and crowns to bridges, dentures, and dental implants, we’ll work with you to create a customized treatment plan that fits your needs and goals.
Modern Dentistry
We combine expert care with the latest in dental technology to provide a more comfortable and precise experience. Our advanced intraoral scanner replaces traditional messy impressions with quick, accurate digital scans of your teeth and gums. This cutting-edge technology allows us to create detailed 3D models for crowns, bridges, aligners, and other treatments, enhancing both accuracy and patient comfort. With no gooey trays and faster turnaround times, your dental visits are easier, cleaner, and more efficient than ever before. Discover the benefits of modern, high-tech dentistry designed with your convenience in mind.
Dental Emergencies
Dental emergencies can happen when you least expect them, and we're here to help you through them. Whether you're dealing with a broken tooth, severe tooth pain, or a lost filling, our team is ready to provide prompt, professional care to relieve your pain and address the problem quickly.
We understand that dental emergencies can be stressful, so we prioritize getting you in as soon as possible to provide the treatment you need. Our goal is to help you return to your daily routine as soon as possible, while ensuring your comfort and well-being.
If you're experiencing a dental emergency, don’t wait—call us right away. We’re here to help you get the care you need, when you need it most.
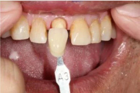
Cosmetic
We offer a range of advanced treatments designed to enhance the appearance of your teeth while supporting your overall oral health. Whether you're looking to brighten your smile with professional teeth whitening, correct chips or gaps with dental bonding or porcelain veneers, or straighten your teeth using Invisalign® clear aligners, our skilled team is here to deliver natural-looking, lasting results. For those seeking a complete transformation, our smile makeover options are customized to meet your unique goals.

